Опытные специалисты Атырауского областного перинатального центра спасли жизнь матери и ребёнку в крайне сложной ситуации, сообщает AtyrauPress.
операция
В Жылыойском районе провели первую успешную операцию по эндопротезированию сустава
- 10 ноября 2025
- 24
В Жылыойской центральной районной больнице впервые успешно выполнена операция по полной замене левого тазобедренного сустава, сообщает AtyrauPress.
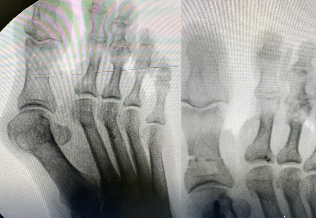
В Атырауской областной больнице успешно внедрён новый современный метод лечения вальгусной деформации первого пальца стопы — hallux valgus, сообщает AtyrauPress.
Миому весом 3 кг успешно удалили женщине в Атырау
- 18 марта 2025
- 24
В Атырауском областном перинатальном центре была успешно проведена сложная хирургическая операция, сообщает корреспондент AtyrauPress.
Врачи провели тораскопическую операцию пациенту с диагнозом кистозно-буллезная трансформация легких, сообщает корреспондент AtyrauPress.
17 января в приёмное отделение центральной районной больницы Жылыойского района Атырауской области поступил пациент с бытовой травмой. У него наблюдались боли в области правого плеча и
...В Жылыойском районе впервые была проведена сердечно-сосудистая операция
- 19 декабря 2024
- 24
В Жылыойской больнице впервые была проведена сердечно-сосудистая операция с использованием аппарата "Ангиограф", оснащенного новейшими технологиями, сообщает AtyrauPress.
В Атырауской областной больнице впервые проведена операция по расширению желчевыводящих путей
- 12 декабря 2024
- 24
В Атырау прооперирован 51-летний пациент с диагнозом «стеноз нижней трети общего желчного протока в стадии декомпенсации», сообщает Региональная служба коммуникаций.
В областном онкодиспансере впервые провели торакоскопическую операцию
- 07 ноября 2024
- 24
Торакоскопия - это малоинвазивная процедура, используемая для обследования и удаления заболеваний, опухолей в легочной полости. Такая операция впервые делается на базе онкодиспансера,
...Атырауские врачи успешно провели операцию ребенку по коррекции врожденной аномалии
- 05 ноября 2024
- 24
Врачи-ортопеды Атырауской областной детской больницы провели операцию по устранению вырожденной аномалии, сообщает корреспондент AtyrauPress.
В Атырау десяти новорожденным была проведена успешная операция на глаза
- 26 августа 2024
- 24
С начала 2024 года в областном перинатальном центре были прооперированы 10 детей, из них 4 - лазером, а 6 младенцев - препаратом «Луцентис», который был передан благотворительным фондом
...В Атырау врачи спасли 12-летнего ребенка, перенесшего остановку сердца
- 14 августа 2024
- 24
Впервые в регионе врачи имплантировали ребенку кардиостимулятор. Девочку экстренно доставили в детскую областную больницу, передает корреспондент AtyrauPress.
Мужчина в Шахтинске 12 лет прожил с 20-сантиметровым зажимом в животе
- 13 августа 2024
- 24
Больницу обязали выплатить два миллиона тенге. Но это не покрыло даже затраты на лечение, считает пациент. Житель Шахтинска 12 лет носил в животе хирургический зажим, забытый врачами во
...В Атырау впервые проведена операция на сердце методом MIDCAB
- 14 декабря 2023
- 24
В Атырауском областном кардиологическом центре организованы мастер-классы, в ходе которых проведены операции методом MIDCAB, сообщает AtyrauPress со ссылкой на РСК.
«Samruk-Kazyna Trust» помог шестимесячной девочке из Атырау провести операцию за рубежом
- 30 октября 2023
- 24
Благодаря благотворительному проекту фонда «Samruk-Kazyna Trust» шестимесячной жительнице Атырау Асылай Каламгали была успешно проведена операция по восстановлению зрения в Екатеринбурге,
...